TREATMENTマウスピース矯正
越谷市(南越谷・新越谷)で矯正をご検討の方へ。
目立ちにくいマウスピース矯正は、見た目への配慮をしながら歯並び改善を目指せる治療です。まずは適応可否と費用・期間の目安をご案内します。

マウスピース矯正は、透明な素材で作られているため目立たず、日常生活を妨げることなく歯並びを整えることができます。取り外しが簡単で、食事や歯磨きの際に不便を感じることもありません。
個々の歯の動きを計算しながら、段階的に矯正を進めていくため、痛みも少なく、快適に治療を受けられます。健康な歯並びは咀嚼機能を向上させるだけでなく、口腔内の健康(虫歯や歯周病の予防)を保つ上でも重要です。
マウスピース矯正で、自然な笑顔と健康な歯並びを取り戻し、自信を持って笑顔を見せられる毎日を手に入れましょう。
マウスピース矯正
無料相談のご案内
ここが違う!
当院のマウスピース矯正の特徴
マウスピースシェアNo.1インビザラインと、お求めやすい価格のシェアNo.2クリアコレクトからお選びいただけます。

01食事のときに
取り外せる矯正
マウスピース矯正は、痛みが少なく快適な矯正方法として人気です。
マウスピース矯正は、歯に少しずつ優しい力をかけて動かしていくため、従来のワイヤー矯正に比べて痛みが少ないのが特徴です。また、取り外しができるため、食事や歯磨きの際にもストレスがありません。ワイヤー矯正のように食事がしづらくなったり、歯磨きが難しくなったりすることがなく、日常生活への負担が少ないことから、多くの方に選ばれている矯正治療です。
マウスピース矯正はこんな方におすすめ
- ワイヤー矯正はしたくない人
- 仕事上、目立たない矯正をしたい人
- 金属アレルギーがある人
- 違和感や痛みが少なく、快適に過ごしたい人
02
一人ひとりに合った
オーダーメイドの矯正
-
透明で目立たない
装着しても周囲に気付かれず、口元を気にせず笑顔を見せられ、矯正治療を行えます。オーダーメイドのマイスピースは装着の違和感も少ないです。
-
自分で取り外し可能
食事の時には取り外すことができ、食事制限も特になくいつもの食事が取れます。また他の矯正装置とは違い、通常のブラッシングと同様にお口の中の清潔に保つことができます。
-
痛みに弱い人に最適
オーダーメイドのマウスピースは、薄く透明度が高い素材を使用しております。装着の違和感が少なく痛みも少ないため、痛みに弱い方にオススメです。
-
通院回数が少なめ
ライナーは2週間ごとに取り替えますが、ご自宅で可能です。通院は1.5〜3ヶ月毎と少なめですので、お忙しい方も遠方の方でも通院できます。
-
金属アレルギーの方にも安心
従来の矯正装置のワイヤーやブランケットなどの金属を使用することはありませんので、金属アレルギーを引き起こす心配がありません。
-
未来の歯並びを可視化
カメラで撮影した3Dデータから完成に至るまでの歯の移動を3D動画で見れます。ゴールを視覚的イメージすることでモチベーションもUPします。
03マウスピース矯正の種類
当院では2種類のマウスピース矯正から
お選びいただけます

当院では、マウスピース型矯正装置として 世界シェアNo.1の「インビザライン」 と、 コストパフォーマンスに優れたシェアNo.2の「クリアコレクト」 の2種類からお選びいただけます。
どちらも透明で目立ちにくく、取り外し可能な矯正方法ですが、それぞれに特徴があります。
インビザライン

信頼性・実績
世界100カ国以上で提供され、1,500万人以上の治療実績があります。豊富な症例データをもとにした高い信頼性が強みです。
適応症例の幅
軽度の歯並び改善から外科的処置を伴う複雑な症例まで幅広く対応可能。難しいケースでも適応できることが多いです。
価格面
高度なシステムと豊富なデータに基づくため、価格はやや高めですが、安心感があります。
マウスピースの特徴
素材がやわらかくフィット感が高い。装着時の違和感が少ないと感じる方が多いです。
クリアコレクト

信頼性・実績
アメリカ発のブランドで、日本でもシェアを拡大中。コストを抑えつつも確かな品質で、多くの患者様に選ばれています。
適応症例の幅
中等度までの症例に向いており、比較的シンプルな歯並び改善を希望される方におすすめです。
価格面
インビザラインよりもお求めやすい価格設定。費用を抑えつつ矯正したい方に向いています。
マウスピースの特徴
やや硬めの素材を使用しており、しっかり歯を動かしている感覚があります。
マウスピース矯正費用

ご相談:無料
簡易診断・デジタル印象:5,500円
インビザライン
- エクスプレス
- 7ステージ以内
(追加1回まで) - 22万円
追加2回目以降
55,000円
- ライト
- 14ステージ以内
(追加2回まで) - 55万円
追加3回目以降
55,000円
- コンプリート
- ステージ数制限なし
(追加回数無制限) - 88万円
※ 治療費用は全て税込です。
クリアコレクト
- FLEX
- マウスピース枚数:9枚
- 33万円
- 修正なし
追加1枚につき
¥5,500 - 期限:半年
- MINI
- マウスピース枚数:12枚
- 42万円
- 修正時のステップより
1回まで - 期限:半年
- ONE
- マウスピース枚数:24枚
- 53万円
- 修正時のステップより
1回まで - 期限:1年
- TWO
- マウスピース枚数:48枚
- 63万円
- 修正時のステップより
2回まで - 期限:2年
- UNLIMITED
- 無制限(上限なし)
- 77万円
- 制限なし
- 期限:5年
※ 治療費用は全て税込です。
※ 交換用マウスピースが必要な場合(紛失・破損など)は1枚片顎につき¥5,500(税込)かかります。
- 精密検査・診察
-
- 38,500円(税込)
- 保定リテーナー
-
- 上下
- 60,000円(税込)
お支払い方法は3回払い

- 1回目
- マウスピースセット時
- 2回目
- 矯正治療が半分に来た時
- 3回目
- 最後のマウスピースお渡しする時
※ 矯正治療代はクレジットカードが不可です。
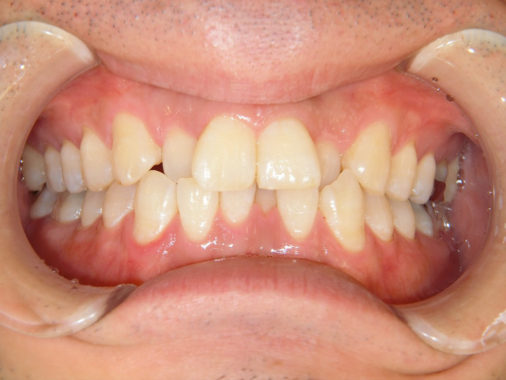
矯正症例集

BEFORE
AFTER
| 性別/年齢 | 男性/30代 |
|---|---|
| 治療期間 | 7ヶ月 |
| 治療内容 | マウスピース矯正 |
| 費用 | 60万円 |
| 来院理由 | 前歯の歯並びが気になる |
| 施術の副作用 (リスク) |
マウスピース矯正は食事や歯磨き時に取り外すことが可能ですが、1日20時間以上の装着が必要です。装着時間の管理ができない場合、十分な効果が得られないリスクがあります。 従来型の矯正よりは痛みは少ないですが、痛みゼロというわけではありません。 |
マウスピース矯正の
注意点

1日20時間以上のアライナー装着が必要
食後に装着し忘れる等、装着時間(1日20時間以上)できていない場合、矯正期間が延び矯正結果にも影響がでます。患者様のご協力がとても重要となります。
インビザラインでの治療が難しい場合もあります。
【上記以外の費用】
矯正前・矯正中の抜歯や虫歯、歯周病治療及び矯正後の被せ物や詰め物のやり直しの費用(自由診療の場合もございます)は別途となります。
よくある質問

治療期間はどのくらいかかりますか。
患者様のお口の状態によって異なりますが、1~3年程度です。
1日にどのくらいマウスピース型矯正を着けるのですか。
1日20時間以上装着していただきます。
インビザラインは痛いと聞きました。
ワイヤー矯正よりも痛くない点が、マウスピース型矯正のメリットです。
虫歯や歯周病がある場合、インビザライン矯正できますか。
矯正治療はまず健康なお口の状態でなければ治療ができないため、虫歯や歯周病がある場合、治療を優先いたします。
旅行では外していたいのですが、ダメですか。
長期間マウスピースを外すことでこれまで動いていた歯が元に戻ってしまうだけでなく、違う方向に動いてしまいます。
1日20時間以上という装着期間を守って正しい治療をしていきましょう。それには患者様の協力が不可欠です。
食事制限など治療中ありますか。
食事中はマウスピースを外すことができます。特に食事制限は必要なく、いつもどおりのお食事を楽しむことができます。

